Sunday, March 18, 2018

Emergency Department Radiograph Interpretation You Need a System!

Emergency Department Radiograph Interpretation You Need a System!

Image source: http://www.chestx-ray.com/images/igallery/resized/501-600/3-512-800-600-100.jpg

We are going to thing of process on ROAR. This is the straight forward one. ROAR stands for related affected consumer, vintage x-rays, alignment and right date. This is in which you would spend merely a 10-20 seconds validating the details, ensuring which you do indeed have an appropriate affected consumer, are there vintage x-rays to event it with, if the movie is hung since it can be, and which you have an appropriate date. Now, for the beyond few years I have been operating at smaller hospitals and after i order an x-ray it would also be the suitable 1 that x-ray has carried out in the overall 10-space-hour. At a fair larger medical company, you do an x-ray, move your entire means down to glance at it, and one is putting. If you are assuming this may be your sufferers movie, you will be able to get burned someday. So, make an effort to come to a decision out which you have an appropriate dated, an appropriate affected consumer and if there are vintage movies to event with, you merely want them convenient and if any abnormalities, you will be able to need to even compare and analysis them. Here is a pearl for you. If you are evaluating a radiograph, and in the evaluation of the vintage movies, you spot a latitude of different movies of a latitude of different physique methods (and there's a bit now not a vast explaniation, such that the affected individual is a stunt motorcycle rider) it implies to me the affected individual derives secondary reap some vast benefits of the clinical software (in other words, they're loopy.)

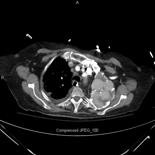
Then we come to the purple meat of our interpretation of the movie. Now, the RIPT stands for analyze of the flawless caliber of the radiograph. R is rotation. I is inspiration. P is penetration. T is manner.

Lets discuss approximately that in greater ingredient. With the R for rotation, we're surfing to establish if the clavicles line up like the website on a gun at the back of the spinous approach. There would wish to always still be same distance one of the spinous approach and the finish of the clavicle, the medial portion of the clavicle. If a affected consumer is twisted and their right shoulder is nearer to the x-ray beams and additional clear of the movie than the left shoulder, there would wish to always still be would becould rather neatly be distortion in anatomy. I am now not announcing you disqualify a movie no matter if it is per chance in moderation turned around, despite this you would wish to weigh that in if you evaluation the movie. If you are evaluated and aged girl with very very important kyphosis, they would wish to always still be would becould rather neatly be turned around to merely a extensive want of measure and also you merely would wish to always weigh that in when reviewing the movies. Inspiration is in which we moderately depend the ribs to come to a decision out we see among 9 and eleven ribs. The deeper of a breath they take, the greater of the lungs you would wish to always still be would becould rather neatly be able to establish. In a private who doesn't take a deep breath, as temporarily as greater a private who's demented and cannot follow directions, you would per chance handiest see six ribs and may just also additionally number of would wish to always weigh in your thought approach that they would just also additionally have pathology mendacity in the posteroinferior sides of the lungs that we may now not be able to establish on a PA radiograph, and a lateral x-ray can be a complete lot greater wise. P is penetration in which we're surfing to establish the vertebral bodies at the back of the core. If the core is so white or less than-penetrated that we can not see the vertebral bodies, we call this movie less than-penetrated and goes to be greater disturbing to interpret the radiograph as antagonistic to a movie which may be over-penetrated which suggests that the movie is excessively black. Those movies are much less disturbing to enquire. When operating as a apartment officer, five years in, I number of thought I changed into turning into different at what I did. I had a ordinary problem of now not telling if the radiograph changed into less than-penetrated as against congestive core failure. So, I grew to become to my senior colleagues, folks that have been apartment officer PAs for 20 years, and requested that question. How are you able to inform no matter if it is per chance number of congestive core failure as against less than-penetrated? I changed into number of anticipating these flawless words of knowledge to resource me differentiate among them. Both of them checked out me and pronounced, You know, John, I had a disturbing time with that too. So, with that pronounced, an less than-penetrated movie can idiot you into fascinated about it is per chance congestive core failure. But, you number of include surfing to weigh in no matter if you will be able to need to even see the vertebral bodies or now not and use pretest want. How does the affected individual glance? T is for manner which is a PA movie as against an AP movie. PA means posterior-anterior, and AP means anterior-posterior. To make clear this recognized posterior and anterior as against anterior and posterior, attention on of keeping your hand up to a flashlight beam which may be shining in the direction of a white wall. The flashlight beams are the x-ray beams, and the wall is the movie. Your hand shadow goes to be what appears to be like on the radiograph. Now, would wish to always still you are taking your hand and put it very shut to the wall, your shadow goes to be sudden crisp and the shadow goes to be neatly-nigh the exact dimension of your hand. If you are taking your hand and stream it returned in the direction of the flashlight, the shadow will become larger and may just also additionally become blurred. It is that identical thought that has to do with studying a posterior-anterior movie as against an anterior-posterior movie. Now, the core lies anterior in the chest, so would wish to always still you are doing and AP movie which suggests the beam of the x-ray goes from the anterior to the posterior. Take a moveable chest x-ray, the core is mendacity additional clear of the movie which is at the back of the sufferers returned and for this purpose the core would wish to always still be would becould rather neatly be disproportionately in intensity and a piece greater hazy. A posterior-anterior movie is when the affected individual moderately turns their returned, puts their returned up to the movie, and the x-ray beams move posterior-anterior. That is a greater supreme movie, and also you get a far better view of the core, a crisper core shadow, and for this purpose a PA movie is a radically better movie than the AP movie. So, as temporarily as as temporarily as greater whilst you are first strolling up to a movie, you would provide it two minutes and are going to workout rip-T ror-ing ABCS in which rip-T is rotation, inspiration, penetration and manner.

In emergency remedy, you would have a software, now not merely with the radiographs, despite this also with the EKGs. You need an massively ordinary systematic attitude so you would now not depart out the remainder. I would would love to be offering you Johns RIPT ROARing ABCs attitude. Again, I would indicate you workout this with every radiograph which you interpret for the remainder of your occupation, unless the two-minute rule. So, would wish to always still you workout this software and take two minutes from your day to workout this software to each chest radiograph, you would become greater glad and greater knowledgeable at analyze chest radiographs.

Forest Gump Teaches Many Lessons, and Tom Hanks Earns Best Actor Oscar

Image source: http://trustlifetoday.com/wp-content/uploads/2011/04/forrest-gump-jenny-grave.jpg As is true with on the topic of some the dif...